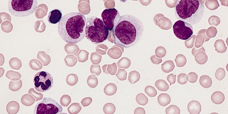
پنل فلوسایتومتری برای تشخیص لوسمی میلومونوسیتی حاد (AMML)

مکان شما:
رفتن به بالا