چکاپ ویتامین K | کمبود فراموششده اما بسیار مهم
ویتامین K چیست و چرا اهمیت دارد؟ ویتامین K یکی از ویتامینهای محلول در چربی است که نقش حیاتی در…
ویتامین K چیست و چرا اهمیت دارد؟ ویتامین K یکی از ویتامینهای محلول در چربی است که نقش حیاتی در…
لووتیروکسین چیست و چرا تنظیم دوز آن اهمیت دارد لووتیروکسین یک شکل سنتتیک از هورمون تیروکسین (T4) است که برای…
رشد مغزی در دوران کودکی از اهمیت بالایی برخوردار است چرا که مغز در این دوران به سرعت رشد میکند…
TSH یا هورمون محرک تیروئید یکی از مهمترین آزمایشهای هورمونی است که برای ارزیابی عملکرد غده تیروئید انجام میشود. این…
آزمایش ANA ANA یا آنتیژن هستهای ضد (Anti-Nuclear Antibodies) گروهی از آنتیبادیها هستند که در پاسخ ایمنی بدن تولید میشوند…
تخم مرغ یکی از کاملترین منابع پروتئین با ارزش زیستی بالا محسوب میشود و حاوی اسیدهای آمینه ضروری، ویتامینهای گروه…
آزمایشهای ALT (آلانین آمینوترانسفراز) و AST (آسپارتات آمینوترانسفراز) بهطور معمول برای بررسی عملکرد کبد انجام میشوند. این آنزیمها در کبد،…
اگر آزمایش خون شما نشان داد که آنزیمهای کبدی مانند آسپارتات آمینوترانسفراز (AST) و آلانین آمینوترانسفراز (ALT) افزایش یافتهاند، این…
رشد سالم کودکان وابسته به ترکیب مناسبی از تغذیه، ویتامینها، مواد معدنی و سبک زندگی فعال است. اگرچه بیشتر کودکان…
انسولین هورمونی است که توسط غده پانکراس تولید میشود و نقش اصلی آن در تنظیم سطح قند خون است. هنگامی…
GGT یا گاما گلوتامیل ترانسفراز یک آنزیم است که بهطور عمده در کبد، کلیهها، پانکراس و رودهها یافت میشود. این…
سیگار یکی از عوامل اصلی ابتلا به بسیاری از بیماریهای مزمن و کشنده است. دود سیگار حاوی بیش از ۷۰…
پرولاکتین چیست؟ پرولاکتین یک هورمون است که بهطور عمده توسط غده هیپوفیز تولید میشود و نقش اصلی آن در تحریک…
تستهای هورمونی در آزمایشگاههای تشخیص پزشکی با روشهای مختلفی انجام میشوند، اما سه روش رایج که بیشترین کاربرد را دارند…
هایپراُسمیا (Hyperosmia) اصطلاح پزشکی برای «افزایش غیرطبیعی حساسیت بویایی» است؛ یعنی فرد بوها را قوی تر از حد انتظار، تندتر،…
کمبود پروتئین یکی از اختلالهای تغذیهای کمتر شناختهشده است که میتواند سالها بدون علامت واضح ادامه پیدا کند. برخلاف تصور…
خستگی شغلی یا Burnout یک حالت فرسودگی جسمی، روحی و روانی است که در اثر استرس طولانیمدت شغلی و فشار…
ازوتمی (Azotemia) اصطلاحی است که به افزایش غیرطبیعی مواد نیتروژنی در خون اشاره دارد؛ موادی مانند اوره و کراتینین که…
کمخونی ناشی از بیماریهای مزمن نوعی کمخونی است که برخلاف بسیاری از انواع شناختهشده، منشأ آن نه ژنتیکی است و…
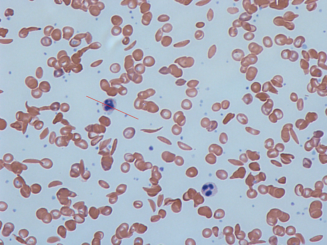
کم خونی داسی شکل یک بیماری ژنتیکی و مادامالعمر است که بر ساختار گلبولهای قرمز خون اثر میگذارد. در حالت…
کمیابترین گروه خونی جهان، Rh-null نام دارد که به آن “خون طلایی” (Golden Blood) نیز میگویند. این گروه خونی فاقد…
کبد چرب یا NAFLD / Non-Alcoholic Fatty Liver Disease یکی از شایعترین مشکلات کبدی است و معمولاً بدون علامت مشخص…
مایکوپلاسماها گروهی از باکتریهای بسیار کوچک و بدون دیواره سلولی هستند که میتوانند انسان را آلوده کنند و باعث بروز…
با افتخار اعلام میکنیم که آزمایشگاه چکاپ، با بیمه بازنشستگان صنعت نفت طرف قرارداد بوده و همشهریان عزیزی که تحت…
در سالهای اخیر، دیابت دیگر فقط یک بیماری بزرگسالان نیست؛ کودکان نیز بهطور فزایندهای در معرض ابتلا به انواع مختلف…
تریگلیسیرید (Triglyceride) نوعی چربی در خون است که از کالری اضافه تولید میشود و اگر زیاد باشد، به مرور در…
در دنیای سلامت، اصطلاحات «کلسترول خوب» و «کلسترول بد» آنقدر تکرار شدهاند که بسیاری تصور میکنند واقعاً دو نوع کلسترول…
کلسترول نوعی چربی طبیعی است که بهطور ذاتی در بدن انسان تولید میشود و در ساخت غشاهای سلولی، سنتز هورمونهای…
۱. آزمایش فاکتور V لیدن یکی از مهمترین علل پنهان مرگهای ناگهانی، لخته شدن غیرطبیعی خون است. جهش ژنتیکی فاکتور…
آزمایش هموسیستئین (Homocysteine Test) برای اندازهگیری سطح یک اسیدآمینه به نام هموسیستئین در خون انجام میشود. هموسیستئین بهطور طبیعی در…
شاید یکی از عجیبترین انواع مرگ، آمبولی ریه به نظر برسد. در یک لحظه، فردی که کاملاً سالم به نظر…
سندرم متابولیک (Metabolic Syndrome) به مجموعهای از اختلالات متابولیکی گفته میشود که شامل افزایش فشار خون، قند خون بالا، تجمع…
پژوهشگران بریتانیایی در مطالعهای تازه اعلام کردهاند که توانستهاند با استفاده از تغییرات اپیژنتیکی در سلولهای ایمنی خون، راهی برای…
سندرم خستگی مزمن یا به اختصار CFS که با نام علمی میالژیک انسفالومیلیت (Myalgic Encephalomyelitis ME) نیز شناخته میشود، یک…
ناباروری یکی از دغدغههای مهم زوجهاست و طبق آمارهای جهانی، حدود ۴۰ تا ۵۰ درصد موارد ناباروری مربوط به عوامل…
لاغری برای بسیاری از افراد یک هدف آرزومندانه است و کاهش وزن معمولا با رژیم غذایی و ورزش به عنوان…
داروهای ضدافسردگی سهحلقهای یا TCA یکی از قدیمیترین گروههای داروهای روانپزشکی هستند که برای درمان افسردگی، دردهای مزمن، اضطراب و…
ناباروری یکی از دغدغههای مهم زوجهاست و طبق آمار جهانی حدود ۱۰ تا ۱۵ درصد زنان در سن باروری با…
ناباروری مردان یکی از چالشهای مهم در زندگی زوجهاست و حدود 40 تا 50 درصد موارد ناباروری، به مشکلات مربوط…
لیزر یکی از روشهای ایمن، مؤثر و علمی در حوزه زیبایی و درمان پوست است. اما پیش از انجام هر…
بلوغ یکی از مهمترین مراحل رشد انسان است که طی آن تغییرات جسمی، هورمونی و روانی در بدن رخ میدهد.…
هورمون DHEAS که مخفف Dehydroepiandrosterone Sulfate است، یکی از آندروژنهای ضعیف محسوب میشود که عمدتاً توسط غدد فوقکلیوی (آدرنال) ترشح…
برای آمادهسازی زوجین پیش از انجام IVF (لقاح خارج رحمی)، یکسری آزمایشها و ارزیابیهای پزشکی لازم است تا وضعیت سلامت…
کنترل قند خون از مهمترین ارکان حفظ سلامت عمومی است، زیرا افزایش مزمن قند خون میتواند به بروز بیماری دیابت…
استرادیول که با نام علمی E2 شناخته میشود، مهمترین و فعالترین شکل هورمون استروژن در بدن انسان است. این هورمون…
چرخه قاعدگی یکی از فرآیندهای پیچیده و منظم بدن زنان در سنین باروری است که تحت کنترل دقیق سیستم هورمونی…
خواب یک نیاز حیاتی برای بقا و عملکرد مطلوب بدن است. در دنیای امروز که استرسهای شغلی، سبک زندگی دیجیتال…
هورمون FSH که مخفف Follicle Stimulating Hormone است، یکی از هورمونهای کلیدی در سیستم تولیدمثل به شمار میآید. این هورمون…
مورفین یکی از شناختهشدهترین مواد افیونی است که بهطور طبیعی از تریاک بهدست میآید و بهعنوان یک داروی مسکن قوی…
هیرسوتیسم به رشد بیش از حد و الگویی مردانهی مو در زنان گفته میشود که معمولاً در نواحی صورت، سینه،…
مصرف مکملهای ورزشی در میان ورزشکاران حرفهای و حتی افراد عادی بسیار رایج است. این مکملها اگرچه میتوانند به بهبود…
هورمون LH یا Luteinizing Hormone یکی از گنادوتروپینهای اصلی است که توسط غده هیپوفیز قدامی ترشح میشود. این هورمون در…
پرمویی یا هیرسوتیسم به رشد موهای ضخیم و تیره در نواحیای از بدن زنان گفته میشود که معمولاً رشد موی…
انتخاب رژیم غذایی مناسب، فراتر از یک تصمیم ساده برای کاهش وزن یا تغییر سبک زندگی است. بدن هر فرد…
بنزودیازپینها یا به اختصار BZO گروهی از داروهای روانگردان هستند که در پزشکی برای درمان اضطراب، بیخوابی، تشنج و برخی…
میکروبیوم روده به مجموعهای از میکروارگانیسمها شامل باکتریها، ویروسها، قارچها و سایر میکروارگانیسمهای زنده گفته میشود که در دستگاه گوارش…
بیماری ام اس (Multiple Sclerosis) یک بیماری خودایمنی و مزمن است که سیستم ایمنی بدن به غلاف میلین در سیستم…
وقتی درباره ژنتیک صحبت میکنیم، اغلب ذهن ما به سمت «DNA» میرود؛ همان کدهای حیات که از والدین به ارث…
ورزش حرفهای تنها به تمرین سخت و برنامهریزی دقیق محدود نمیشود؛ حفظ سلامت جسمی و پیشگیری از آسیبهای احتمالی نقش…
تست جامع اعتیاد به 10 ماده مخدر تست اعتیاد ۱۰ مادهای یکی از کاملترین و دقیقترین آزمایشهایی است که برای…
دوران شیردهی مرحلهای حساس در زندگی مادر و نوزاد است که نیازمند توجه ویژه به سلامت جسمی و روانی مادر…
فارماکوژنومیکس چیست؟ فارماکوژنومیکس شاخهای پیشرفته از علم ژنتیک و داروسازی است که به بررسی ارتباط میان ژنهای انسان و واکنش…
شیشه یا متآمفتامین یک ماده محرک قوی سیستم عصبی مرکزی است که با افزایش سطح دوپامین در مغز، منجر به…
آلزایمر یکی از رایجترین بیماریهای عصبی در دوران سالمندی است که بهتدریج عملکرد مغز را مختل میکند. این بیماری پیشرونده…
ماریجوانا (Cannabis) یکی از پرمصرفترین مواد روانگردان در جهان است که ترکیب فعال اصلی آن، دلتا-۹-تتراهیدروکانابینول (THC)، با اثرگذاری بر…
بسیاری از ما زمانی به فکر آزمایش خون و چکاپ میافتیم که دچار یک علامت آزاردهنده یا بیماری حاد شده…
گروه خونی بمبئی (Bombay یا hh) یک زیرگروه بسیار نادر از سیستم گروه خونی ABO است که اولین بار در…
قرص آهن یکی از رایجترین مکملهایی است که بسیاری از افراد بهویژه زنان، بهمحض احساس خستگی، رنگپریدگی یا ریزش مو،…
بیشتر افراد با گروههای خونی رایجی مانند A، B، AB یا O آشنا هستند. اما واقعیت این است که دنیای…
چاقی و لاغری تنها عددی روی ترازو نیستند؛ آنچه در پس این تغییرات وزنی نهفته است، میتواند از اختلالات متابولیک…
نوروبیون یکی از مکملهای شناختهشده ویتامینهای گروه B است که معمولاً برای بهبود علائم خستگی، بیحسی اندامها، دردهای عصبی یا…
به منظور رفاه مراجعین گرامی، آزمایش تعیین گروه خونی ویژه گواهینامه رانندگی در آزمایشگاه چکاپ در کمتر از ۳۰ دقیقه…
رسیدگی به سلامت کودکان، یکی از مهمترین وظایف والدین است. برخلاف بزرگسالان، بسیاری از مشکلات جسمی و متابولیکی در کودکان…
آسنترا (سرترالین) یکی از داروهای پرکاربرد برای درمان افسردگی، اضطراب و وسواس است. اما پیش از شروع مصرف این دارو،…
احساس غم، خستگی، بیانگیزگی و دوری از فعالیتهای روزمره گاهی بهعنوان نشانههایی از افسردگی در نظر گرفته میشوند. اما نکته…
استرس و اضطراب بخشی طبیعی از واکنش بدن ما به شرایط چالشبرانگیز هستند. وقتی با یک موقعیت دشوار، تهدید یا…
خیلی از افراد وقتی میخواهند چکاپ سلامتی انجام دهند، میپرسند: «چکاپ کامل دقیقاً شامل چه آزمایشهایی است؟»پاسخ این است که…
در شرایط بحرانی مانند جنگ، حملات هوایی، زلزله یا هر نوع وضعیت اضطراری دیگر، زمان مهمترین عامل نجات جان افراد…
در روزهایی که کشور با شرایط جنگی و تنشهای منطقهای روبهروست، ما در آزمایشگاه چکاپ ضمن محکومکردن هرگونه خشونت و…
در شرایط جنگی و بحرانی، تمرکز اصلی بسیاری از مردم بر امنیت، پناهگاه و تامین مایحتاج ضروری است. اما در…
پرولاکتین هورمونی است که به طور طبیعی توسط غده هیپوفیز در مغز ترشح میشود. این هورمون به طور معمول مسئول…
کم خونی یکی از مشکلات شایع جامعه بوده و همه باید تست کم خونی را به صورت دوره ای انجام…
کاشت مو یکی از روشهای محبوب و موثر در درمان ریزش مو است که امروزه به طور گستردهای توسط افراد…
غده تیروئید یکی از مهمترین غدد بدن است که نقش کلیدی در تنظیم متابولیسم، تولید انرژی و عملکرد طبیعی بسیاری…
اگر تا به حال احساس کردهاید بدون هیچ دلیل مشخصی خسته، گیج و بیحوصله هستید، یا به سختی میتوانید تمرکز…
پیش از بیهوشی و عمل جراحی، بررسی وضعیت انعقاد خون (Clotting) بسیار مهم است تا خطر خونریزی کنترلنشده کاهش یابد.…
قبل از انجام جراحی بینی، انجام برخی آزمایشها ضروری است تا از سلامت عمومی بدن اطمینان حاصل شود و خطرات…
کولیت اولسروز، به عنوان یکی از شایعترین بیماریهای التهابی مزمن روده، نوعی اختلال خودایمنی است که عمدتاً بخشهای انتهایی روده…
سرطان روده بزرگ و راستروده (کولورکتال) یکی از شایعترین و مرگبارترین سرطانها در جهان است. متأسفانه این بیماری اغلب در…
مارکر CD146 (MCAM): شناسایی سلولهای اندوتلیال و نقش در تومورهای عروقی CD146، که به عنوان melanoma cell adhesion molecule (MCAM)…
مارکر CD105 (Endoglin): نقش در رگزایی و شناسایی سلولهای بنیادی و تومورهای عروقی CD105، که به عنوان اندوگلین (Endoglin) نیز…
مارکر CD117 (c-Kit): شناسایی پیشسازهای خونی و نقش در تومورهای استرومایی CD117، که با نام c-Kit نیز شناخته میشود، یک…
مارکر CD117 (c-Kit): شناسایی پیشسازهای خونی و نقش در تومورهای استرومایی CD117، که با نام c-Kit نیز شناخته میشود، یک…
مارکر CD127 (IL-7R): شناسایی و تنظیم سلولهای T و نقش در پیشبینی پاسخ به ایمونوتراپی CD127، که با نام گیرنده…
آرتریت روماتوئید (Rheumatoid Arthritis) یک بیماری خودایمنی مزمن است که باعث التهاب مفاصل میشود. در این بیماری، سیستم ایمنی بدن…
آرتریت روماتوئید (Rheumatoid Arthritis) یک بیماری خودایمنی و التهابی مزمن است که عمدتاً مفاصل را درگیر میکند. در این بیماری،…
مارکر PD-L1: تنظیم ایمنی و نقش در فرار ایمنی سرطانها PD-L1 (Programmed Death-Ligand 1)، که به عنوان B7-H1 نیز شناخته…
مارکر PD-1: تنظیم پاسخ ایمنی و نقش در درمانهای ضدسرطانی PD-1، که مخفف Programmed Death-1 است، یک گیرنده سطحی از…
چکاپ سالانه برای هر فردی ضروری است و باعث جلوگیری از بیماری ها، کنترل ریسک فاکتورها و تشخیص زودهنگام بیماری…
مارکر CD23: شناسایی سلولهای B و نقش در بدخیمیهای خونی و آلرژیها CD23، که به عنوان گیرنده FcεRII نیز شناخته…
باروری یکی از مهمترین جنبههای سلامت زنان است که تحت تأثیر عوامل متعددی قرار میگیرد. یکی از کلیدیترین این عوامل،…
آزمایش AMH یا Anti-Müllerian Hormone (هورمون ضد مولرین) یک آزمایش خونی است که برای ارزیابی عملکرد تخمدانها در زنان و…
مارکر CD95 (Fas): تنظیم مرگ برنامهریزیشده سلولی و نقش در بیماریهای ایمنی و بدخیمیها CD95، که با نام Fas یا…
CD56 که به عنوان مولکول چسبندگی سلول عصبی (Neural Cell Adhesion Molecule) شناخته میشود، عمدتاً روی سلولهای NK و برخی…
CD16+CD56+: ترکیبی برای شناسایی سلولهای NK این ترکیب بهطور خاص برای افتراق زیرگروههای سلولهای NK و گاهی سلولهای T با…
مارکر CD5: شناسایی سلولهای T و برخی سلولهای B و نقش در بیماریهای لنفوییدی CD5 یک پروتئین سطحی است که…
CD16 یک گیرنده برای ایمونوگلوبولین G (IgG) است و در تنظیم پاسخهای ایمنی نقش دارد. این مارکر عمدتاً روی سلولهای…
مارکر cMPO: شناسایی سلولهای میلوئیدی نابالغ و نقش در تشخیص بدخیمیهای خونی cMPO، که به مایلوپراکسیداز سیتوپلاسمی (Cytoplasmic Myeloperoxidase) اشاره…
مارکر cCD3: شناسایی سلولهای T نابالغ و نقش در تشخیص بدخیمیهای مرتبط cCD3، که به CD3 سیتوپلاسمی اشاره دارد، یک…
در دنیای امروز، درک فرایندهای بیولوژیکی مرتبط با پیری و یافتن راههایی برای حفظ سلامت و جوانی، یکی از دغدغههای…
مارکر CD30: شناسایی لنفومهای هوچکین و نقش در ایمونوتراپی CD30، که به خانواده گیرندههای TNF (Tumor Necrosis Factor) تعلق دارد،…
مارکر CD103: شناسایی لنفوسیتهای T مقیم بافت و نقش در لنفوم سلول مویی CD103، که با نام اینتگرین αE (Integrin…
مارکر CD138: شناسایی پلاسماسلها و نقش کلیدی در تشخیص و درمان بیماریهای پلاسماسلمحور CD138، که با نام سینڈکان-1 (Syndecan-1) نیز…
مارکر cCD22: شناسایی سلولهای B و نقش در بدخیمیهای مرتبط cCD22، که به CD22 سیتوپلاسمی اشاره دارد، یک مارکر داخل…
مارکر TdT: شناسایی سلولهای نابالغ لنفوبلاستیک و نقش در تشخیص بدخیمیهای خونی TdT، که مخفف Terminal deoxynucleotidyl transferase است، یک…
مارکر TCRα/β: شناسایی سلولهای T و نقش در افتراق زیرگروههای لنفوسیتی TCRα/β، که مخفف T Cell Receptor α/β است، یک…
مارکر TCRγ/δ: شناسایی سلولهای T غیرمتعارف و نقش در ایمنی ذاتی TCRγ/δ، که مخفف T Cell Receptor γ/δ است، یک…
مارکر MPO: شناسایی سلولهای میلوئیدی و نقش در تشخیص لوسمیها MPO، که مخفف مایلوپراکسیداز (Myeloperoxidase) است، یک آنزیم داخل سلولی…
اگر روزی به شما میگفتند با بزاق دهان میتوانید آزمایش ژنتیک بدهید، قطعا با خنده از کنار این موضوع رد…
آلانین آمینوترانسفراز (ALT) یک آنزیم داخل سلولی است که عمدتاً در کبد یافت میشود، اما در مقادیر کمتری در کلیهها،…
مارکر CD79a: شناسایی سلولهای B و نقش در بدخیمیهای لنفوئیدی CD79a، که با نام Igα نیز شناخته میشود، یک پروتئین…
تست تشخیص عفونت معده اگر شما دچار درد یا سوزش معده هستید، کاهش وزن یا کماشتهایی غیرمعمول را تجربه میکنید،…
چکاپ سلامت کبد کبد یکی از اندامهای حیاتی بدن است که وظایف متعددی از جمله سمزدایی، متابولیسم مواد مغذی و…
مارکرهای بیوشیمیایی برای سرطان تخمدان سرطان تخمدان یکی از شایعترین انواع سرطانها در میان خانمهای ایرانی است. طبق آمار، این…
مارکر CD7: شناسایی سلولهای T و نقش در بدخیمیهای لنفوسیتی CD7 یک پروتئین سطحی است که بهطور اختصاصی روی سلولهای…
مارکر CD64: شناسایی مونوسیتها و نقش در عفونتها و اختلالات ایمنی CD64، که با نام گیرنده FcγRI نیز شناخته میشود،…
مارکر CD61: شناسایی مگاکاریوسیتها و پلاکتها و نقش در اختلالات لختهسازی CD61، که با نام گلیکوپروتئین IIIa (GPIIIa) نیز شناخته…
مارکر CD42: شناسایی پلاکتها و نقش در اختلالات لختهسازی CD42، که مجموعهای از گلیکوپروتئینهای سطح پلاکت شامل CD42a (GPIX)، CD42b…
CD41، که با نام گلیکوپروتئین IIb (GPIIb) نیز شناخته میشود، یک پروتئین سطحی است که بهطور اختصاصی روی پلاکتها و…
CD36: مارکری برای متابولیسم لیپید، چسبندگی سلولی، و نقش در بیماریهای مزمن CD36، که با نام گیرنده کلاس B نوع…
قرارداد آنلاین با بیمه صدا و سیما در آزمایشگاه چکاپ با توجه به سیاست های آزمایشگاه تشخیص پزشکی و تخصصی…
CD15: مارکری برای شناسایی گرانولوسیتها و نقش در بدخیمیها CD15، که با نام آنتیژن X-hapten نیز شناخته میشود، یک مولکول…
CD13: مارکری برای شناسایی سلولهای میلوئیدی و اختلالات خونی CD13، که با نام آمینوپپتیداز N نیز شناخته میشود، یک آنزیم…
در این ویدئو دکتر پرویز فلاح مدیریت آزمایشگاه تشخیص پزشکی و تخصصی چکاپ در مورد آزمایشات پیشرفته خونی با استفاده…
در این ویدئو دکتر پرویز فلاح مدیریت آزمایشگاه تشخیص پزشکی و تخصصی چکاپ در مورد آزمایشات غربالگری بارداری صحبت می…
در این ویدئو دکتر پرویز فلاح مدیریت آزمایشگاه تشخیص پزشکی و تخصصی چکاپ در مورد آزمایشات اندازه گیری هورمون پرولاکتین…
آشنایی با بیماری سیستیک فیبروزیز (Cystic Fibrosis) سیستیک فیبروزیز (CF) یک بیماری ژنتیکی شدید و مغلوب است که عمدتاً در…
CD123: مارکری برای شناسایی سلولهای پیشساز خونی و نقش در بدخیمیها CD123، که بهعنوان زنجیره α گیرنده اینترلوکین-3 (IL-3Rα) شناخته…
CD11c: مارکری برای شناسایی سلولهای میلوئیدی و تنظیم ایمنی CD11c یکی از اعضای خانواده اینتگرینها است که عمدتاً روی سلولهای…
Absolute CD4 & CD8 Count: شاخصی کلیدی در ارزیابی وضعیت سیستم ایمنی Absolute CD4 & CD8 count به شمارش دقیق…
CD44: مارکری برای شناسایی سلولهای بنیادی و نقش در تومورها CD44 یک گلیکوپروتئین سطحی است که بهطور گستردهای در بسیاری…
CD71: مارکری برای متابولیسم آهن و شناسایی سلولهای در حال تکثیر CD71، که با نام گیرنده ترانسفرین (Transferrin Receptor) نیز…
CD117 (c-Kit): مارکری برای پیشسازهای خونساز و برخی بدخیمیها CD117، که با نام c-Kit نیز شناخته میشود، یک گیرنده تیروزین…
CD11b: مارکری برای شناسایی مونوسیتها، نوتروفیلها، و تنظیم پاسخهای التهابی CD11b، که با نام اینترگرین αM نیز شناخته میشود، یک…
در این ویدئو دکتر پرویز فلاح مدیریت آزمایشگاه تشخیص پزشکی و تخصصی چکاپ در مورد آزمایشات چکاپ سرطان صحبت می…
CD25: مارکری برای شناسایی سلولهای T فعال و بیماریهای مرتبط با تنظیم ایمنی CD25، که بهعنوان زنجیره α گیرنده اینترلوکین-2…
CD16: مارکری برای شناسایی سلولهای کشنده طبیعی (NK) و مونوسیتها CD16، که با نام گیرنده FcγRIII نیز شناخته میشود، یک…
در این ویدئو دکتر پرویز فلاح مدیریت آزمایشگاه تشخیص پزشکی و تخصصی چکاپ در مورد آزمایش چکاپ ویتامین B12 صحبت…
CD14: مارکری برای شناسایی مونوسیتها و تنظیم پاسخ ایمنی CD14 یک گلیکوپروتئین سطحی است که عمدتاً روی مونوسیتها و ماکروفاژها…
CD138: مارکری برای شناسایی پلاسماسلها و افتراق بیماریهای پلاسماسلمحور CD138، که با نام سینڈکان-1 (Syndecan-1) نیز شناخته میشود، یک پروتئین…
CD10: مارکری کلیدی در شناسایی لنفوسیتهای پیشساز و نوتروفیلها CD10، که بهعنوان آنتیژن نپریلایسین نیز شناخته میشود، یک متالوپروتئیناز سطحی…
CD10: مارکری کلیدی در شناسایی لنفوسیتهای پیشساز و نوتروفیلها CD10، که بهعنوان آنتیژن نپریلایسین نیز شناخته میشود، یک متالوپروتئیناز سطحی…
HLA-DR: مارکری برای بررسی فعالیت ایمنی و تشخیص بیماریهای مرتبط با سیستم ایمنی HLA-DR یکی از مولکولهای کلاس II کمپلکس…
CD33: مارکری برای سلولهای میلوئید و هدفی برای درمانهای لوکمی CD33 یک گلیکوپروتئین سطحی است که عمدتاً روی سلولهای میلوئید…
CD56: مارکری برای شناسایی سلولهای کشنده طبیعی (NK) و برخی بیماریهای بدخیم CD56 یک گلیکوپروتئین سطحی است که بهطور عمده…
در این ویدئو دکتر پرویز فلاح مدیریت آزمایشگاه تشخیص پزشکی و تخصصی چکاپ در مورد آزمایش گلبول های سفید صحبت…
در این ویدئو دکتر پرویز فلاح، مدیریت آزمایشگاه تشخیص پزشکی و تخصصی چکاپ در مورد آزمایش CA19-9 که آزمایش تشخیص…
سلامت بدن شما یکی از مهمترین سرمایههای زندگی است، و انجام آزمایشهای دورهای میتواند به شناسایی مشکلات در مراحل ابتدایی…
CD20: مارکری کلیدی برای تشخیص و درمان بیماریهای مرتبط با سلولهای B CD20 یک پروتئین سطحی است که بهطور خاص…
CD19: مارکری اختصاصی برای شناسایی و تحلیل سلولهای B CD19 یک گلیکوپروتئین سطحی است که بهطور اختصاصی روی سلولهای B…
CD8 یک گلیکوپروتئین سطحی است که عمدتاً روی سلولهای T سیتوتوکسیک (T-cytotoxic cells) بیان میشود. این مولکول با اتصال به…
CD4 یک گلیکوپروتئین سطحی است که عمدتاً روی سلولهای T کمککننده (T-helper cells) بیان میشود. این مولکول با اتصال به…
CD3 بخشی از کمپلکس گیرنده سلول T (TCR) است که روی سطح تمام سلولهای T بیان میشود. این کمپلکس شامل…
در این ویدئو دکتر پرویز فلاح مدیریت آزمایشگاه تشخصی پزشکی و تخصصی چکاپ در مورد آزمایشات سنجش میزان ویتامین D…
در این ویدئو دکتر پرویز فلاح مدیریت آزمایشگاه تشخصی پزشکی و تخصصی چکاپ در مورد آزمایشات سنجش میزان ویتامین D…
هورمون رشد (Growth Hormone) که به اختصار GH نیز شناخته میشود، یکی از هورمونهای اصلی بدن است که توسط غده…
در این ویدئو دکتر پرویز فلاح مدیریت آزمایشگاه تشخصی پزشکی و تخصصی چکاپ در مورد آزمایشات سنجش میزان ویتامین D…
جراحی لاغری یا جراحی باریاتریک به مجموعهای از روشهای جراحی اطلاق میشود که با هدف کاهش وزن و بهبود سلامت…
در این ویدئو دکتر پرویز فلاح مدیریت آزمایشگاه تشخصی پزشکی و تخصصی چکاپ در مورد آزمایشات سنجش میزان ویتامین D…
لیپوپروتئین (a) یا Lp(a) نوع خاصی از چربی خون است که به دلیل ساختار منحصر به فرد خود، نقشی مهم…
در این ویدئو دکتر پرویز فلاح مدیریت آزمایشگاه تشخصی پزشکی و تخصصی چکاپ در مورد آزمایشات سلامت کلیه و ارزیابی…
در این ویدئو دکتر پرویز فلاح مدیریت آزمایشگاه تشخصی پزشکی و تخصصی چکاپ در مورد آزمایشات سلامت کلیه و ارزیابی…
در این ویدئو دکتر پرویز فلاح مدیریت آزمایشگاه تشخصی پزشکی و تخصصی چکاپ در مورد آزمایشات قند خون و دلیل…
تست IgE توتال یک آزمایش خون است که میزان ایمونوگلوبولین E (IgE) را در خون اندازهگیری میکند. IgE یکی از…
مایتها (به انگلیسی: Mites) موجودات بسیار ریزی هستند که به خانواده عنکبوتیان تعلق دارند. آنها میکروسکوپی بوده و با چشم…
تب شالیزار یا تب سیاه زخم ریهای، یکی از بیماریهای عفونی است که توسط باکتری لپتوسپیرا (Leptospira) ایجاد میشود. این…
تولارمی (Tularemia) که به عنوان تب خرگوش نیز شناخته میشود، یک بیماری عفونی نادر اما بسیار مسری است که توسط…
لپتوسپیروز چیست؟ لپتوسپیروز یا تب شالیزار یک عفونت است که هم انسانها و هم حیوانات را تحت تأثیر قرار میدهد.…
آلرژی به شیر یکی از شایعترین آلرژیهای غذایی است که میتواند در سنین اولیه زندگی ظاهر شود. در سنین خردسالی…
آلرژی به تخممرغ به دلیل واکنش سیستم ایمنی بدن به پروتئینهای موجود در تخممرغ به وجود میآید. پروتئینهای موجود در…
آلرژی به غلات و دانهها، از جمله گندم، جو و ذرت، یکی از انواع آلرژیهای غذایی است که میتواند در…
آلرژی به زهر حشرات (insect venom allergy) یکی از انواع آلرژیهای شدید است که میتواند پس از نیش یا گزیدگی…
افتادگی پلک که به آن پتوز (Ptosis) نیز گفته میشود، وضعیتی است که در آن پلک بالا به طور غیرطبیعی…
آمبولی ریه (Pulmonary Embolism – PE) یک وضعیت جدی و بالقوه کشنده است که زمانی رخ میدهد که یک لخته…
عملهای جراحی چشم مانند عمل آب مروارید (کاتاراکت)، عمل لازک یا لیزیک برای اصلاح دید، و پیوند قرنیه، از جمله…
عمل سزارین (C-section) یکی از روشهای رایج زایمان است که در شرایط خاص پزشکی یا به درخواست مادر انجام میشود.…
کمبود گاما آمینوبوتیریک اسید (GABA)، که یک نوروترانسمیتر بازدارنده مهم در مغز است، میتواند با علائم مختلفی همراه باشد که…
ترومبوز (Thrombosis) به وضعیتی گفته میشود که در آن لخته خونی (ترومب) در عروق خونی تشکیل میشود و میتواند جریان…
پانسیتوپنی (Pancytopenia) یک وضعیت پزشکی است که در آن تعداد هر سه نوع اصلی سلولهای خونی شامل گلبولهای قرمز، گلبولهای…
کمخونی آپلاستیک (Aplastic Anemia) یک اختلال خونی نادر و جدی است که در آن مغز استخوان قادر به تولید کافی…
کمخونی همولیتیک یا Hemolytic Anemia نوعی کمخونی است که در آن گلبولهای قرمز خون سریعتر از سرعت تولید آنها توسط…
بیماری هموگلوبین C (Hemoglobin C Disease) یک نوع اختلال خونی ارثی است که در آن یک جهش ژنتیکی در ژن…
کمخونی مگالوبلاستیک یک نوع کمخونی است که در آن گلبولهای قرمز خون به دلیل نقص در تولید DNA در فرآیند…
سندرم اورمیک همولیتیک (Hemolytic Uremic Syndrome یا HUS) یک بیماری نادر اما جدی است که معمولاً پس از یک عفونت…
ترومبوسیتوپنی (Thrombocytopenia) به وضعیتی اطلاق میشود که در آن تعداد پلاکتهای خون کمتر از حد طبیعی است. پلاکتها (یا ترومبوسیتها)…
تشخیص ژنتیکی یکی از روش های مهم در تشخیص افراد مبتلا و ناقلین به بتا تالاسمی است. یکی از بهترین…
بتا تالاسمی یک اختلال خونی ارثی است که در آن بدن نمیتواند زنجیرههای بتا هموگلوبین را به طور طبیعی تولید…
کمخونی داسیشکل به دلیل یک جهش نقطهای در ژن هموگلوبین بتا (HBB) رخ میدهد که بر روی کروموزوم 11 قرار…
ژن HBB (Hemoglobin Subunit Beta) ژنی است که بر روی بازوی کوتاه کروموزوم 11 (11p15.5) قرار دارد. این ژن مسئول…
کمخونی یا آنمی وضعیت پزشکی است که در آن تعداد گلبولهای قرمز خون یا میزان هموگلوبین موجود در آنها به…
کمخونی فقر آهن (Iron Deficiency Anemia) یکی از شایعترین انواع کمخونی است که به دلیل کاهش میزان آهن در بدن…
کمخونی داسیشکل (به انگلیسی: Sickle Cell Anemia) یک نوع بیماری ارثی و ژنتیکی است که باعث ایجاد تغییرات غیرطبیعی در…
آزمایش ویتامین C به منظور اندازهگیری سطح این ویتامین در خون انجام میشود تا کمبود یا سطوح غیرعادی آن را…
چکاپهای آزمایشگاهی ویتامینها نقش مهمی در حفظ سلامت عمومی افراد دارند. ویتامینها مواد مغذی ضروریای هستند که بدن به مقدار…
گیاهخواری به دلیل مزایای سلامتی مختلف، از جمله کاهش خطر بیماریهای قلبی، دیابت نوع ۲ و برخی انواع سرطان، روز…
ویتامین B12، که به عنوان کوبالامین نیز شناخته میشود، یکی از ویتامینهای ضروری و حیاتی برای بدن انسان است. این…
چکاپ یا آزمایشات خون برای افرادی که دارای عادت ماهانه نامنظم هستند یا قبلا عادت ماهانه منظمی داشته و به…
CD مارکرها، که به آنها آنتیژنهای CD نیز گفته میشود، مولکولهای خاصی هستند که بر روی سطح سلولها قرار دارند…
تست CD Marker، که به آن تست فلوسایتومتری (Flow Cytometry) هم گفته میشود، یک روش پیشرفته آزمایشگاهی است که برای…
قبل از انجام عمل لیزیک چشم، پزشکان ممکن است از شما بخواهند تا تعدادی آزمایش خون انجام دهید تا اطمینان…
ویروس پاپیلومای انسانی (HPV) یکی از شایعترین ویروسهای منتقلشونده از طریق تماس جنسی است که میتواند عفونتهای پوستی و مخاطی…
تست زمان پروترومبین یا Prothrombin time یا تست PT، که گاهی اوقات به عنوان تست زمان انعقاد خون شناخته میشود،…
جهش PT 20210 یا Prothrombin G20210A یک تغییر ژنتیکی در ژن پروترومبین است که موجب افزایش خطر تشکیل لختههای خونی…
هموگلوبینوری پاروکسیسمال شبانه (PNH) به طور مستقیم با نقص ژنتیکی در سلولهای بنیادی خون در مغز استخوان مرتبط است. این…
هموگلوبینوری Hemoglobinuria به وضعیتی گفته میشود که در آن هموگلوبین، پروتئین حامل اکسیژن در خون، به طور غیر طبیعی وارد…
قبل از شروع شیمیدرمانی، پزشکان معمولاً چندین آزمایش خون را توصیه میکنند تا اطمینان حاصل شود که بیمار برای درمان…
تست آلکالین فسفاتاز (Alkaline Phosphatase) آزمایشی است که برای سنجش میزان آنزیم آلکالین فسفاتاز در خون انجام میشود. این آنزیم…
سندرم میلودیسپلاستیک (MDS)، Myelodysplastic syndrome که به نام میلودیسپلازی نیز شناخته میشود، یک گروه از اختلالات خونی است که در…
این روزها سندرم DRESS مورد توجه زیادی قرار گرفته است. سندرم DRESS (Drug Reaction with Eosinophilia and Systemic Symptoms)، که…
ژن FLT3 یکی از مهمترین ژنها در توسعه و پیشرفت بیماریهای خونی، به خصوص لوسمی میلوئید حاد (AML) است. این…
جهش نقطه ای Factor V Leiden 1691G > A که با کد استاندارد rs6025 شناخته میشود یک SNP است که…
ژن calreticulin که به اختصار CALR نامیده می شود، مسئول ساخت پروتئینی به نام calreticulin است. عملکرد دقیق پروتئین calreticulin…
بررسی وضعیت ژنتیکی یکی از راه های تکمیلی تشخیص و یا بررسی و انتخاب روش های درمانی در سرطان های…
در آزمایشات ژنتیکی مرتبط با ناهنجاریهای خونی، بررسی تغییرات ژنتیکی در ژنهای خاص میتواند اطلاعات مهمی در مورد تشخیص، پیشآگهی…
ژن MPL، که به عنوان گیرنده ترومبوپویتین (TPO receptor) شناخته میشود، یکی از کلیدیترین عوامل در رگولاسیون فیزیولوژیکی و بیماریهای…
لوسمی یا سرطان خون، ناهنجاری خونی است که در اثر رشد بیرویه و کنترلنشده سلولهای سفید خون (لوکوسیتها) در مغز…
بازآرایی ژن BCR/ABL1 یک جهش ژنتیکی است که اغلب در برخی از انواع سرطان خون، به ویژه در لوسمی میلوئیدی…
وقتی نگرانی از بابت سیستم قلبی و عروقی وجود دارد، بایستی به سرعت تست های مربوطه را انجام داد. اما…
ویروس پاپیلومای انسانی (HPV) یکی از شایعترین عفونتهای انسانی است که از طریق تماس پوستی بویژه ارتباط های جنسی منتقل…
یکی از مراکز انجام تست HPV در کرج، آزمایشگاه چکاپ است. به علت اهمیت این تست، تست HPV در آزمایشگاه…
پاپیلومای انسانی یا HPV یکی از ویروس هایی است که این روزها زیاد در مورد آن میشنویم. این ویروس میتواند…
شناسایی موتاسیون های کلیدی تاثیر گذار در ایجاد و یا وخامت بیماری ها، یکی از بهترین راه ها برای مشخص…
آزمایشگاه چکاپ کرج، در راستای توسعه خدمات تخصصی و بهروز خود، اقدام به راه اندازی بخش تشخیص مولکولی نموده است.…
معمولاً قبل از انجام عمل کاشت ابرو، نیاز به انجام آزمایشات خون خاصی است. این آزمایشات به منظور اطمینان از…
Panel for diagnosis mixed phenotype acute leukemia (MPAL)MPO, CD11c, CD14, CD64, cCD3, CD19, CD79a, cCD22, CD10 لوسمی حاد با فنوتیپ…
Panel for diagnosis Acute myelomonocytic leukemiaCD45, CD33, HLA-DR, CD117, CD34, CD13, CD15, CD36, CD11b, CD14, CD64 لوسمی میلومونوسیتی حاد (AMML)،…
Panel for diagnosis Acute promyelocytic leukemiaCD45, CD33, HLA-DR, CD11b, CD15, CD13, CD16, CD34, CD38, CD117 لوسمی پرومیلوسیتی حاد (APL) که…
Panel for diagnosis Acute myeloid leukemia with differentiationCD45, HLA-DR, CD15, CD33, CD11b, CD13, CD16, CD34, CD38, CD117 پنل تشخیصی برای…
Panel for diagnosis ALL–T CellCD1a, CD2, cCD3, CD3, CD4, CD5, CD7, CD8, CD10, CD56, TCRα/β or γ/δ, CD34, HLA-DR, TdT,…
Panel for diagnosis ALL–B Cell (B lymphoblastic leukemia/lymphoma)cCD79a, cCD22, CD19, CD10, TDT, CD45, CD20, CD19, CD22, HLA-DR, CD38, CD34, CD45…
Panel for diagnosis Acute Myeloid Leukemias CD117, CD13, CD33, CD34, CD19, CD14, CD4, CD64, CD68, CD2, HLA-DR, CD56, CD57, CD38,…
Panel for diagnosis Immune DeficiencyCD2, CD3, CD4, CD8, CD19, CD20, CD16, CD56, CD45(RO & RA) پنل تشخیصی برای کمبود ایمنی…
Panel for diagnosis Immune DeficiencyCD2, CD3, CD4, CD8, CD19, CD20, CD16, CD56, CD45(RO & RA) پنل تشخیصی برای کمبود ایمنی…
Panel for diagnosis and following treatment of HIVCD3, CD4, CD8, Absolute CD4 & CD8 count پنل تشخیصی و پیگیری درمان…
Panel for diagnosis Recurrent AbortionCd3, CD4, CD8, CD16, CD56, CD5, CD19, CD20, CD16+CD56+ سقط مکرر، که به عنوان دو…
غربالگری دوران بارداری شامل مجموعهای از آزمایشها است که به منظور ارزیابی سلامت مادر و جنین انجام میشود. این آزمایشها…
پنل عملکرد کبدی یک سری آزمایشهای آزمایشگاهی است که برای ارزیابی سلامت و عملکرد کبد انجام میشود. این آزمایشها به…
آزمایشهای مرتبط با بررسی عملکرد پاراتیروئید و تعادل مواد معدنی در بدن برای تشخیص و مدیریت اختلالات مرتبط با این…
مدیریت الکترولیتها و مایعات برای بیمارانی که دچار اختلالات تعادل مایعات و الکترولیتها هستند، حیاتی است. این مدیریت میتواند شامل…
پنل هپاتیت حاد مجموعهای از آزمایشها است که برای تشخیص سریع عفونتهای حاد کبدی ناشی از ویروسهای هپاتیت A, B,…
آزمایش غربالگری سمشناسی در ادرار به منظور شناسایی مصرف اخیر مواد مخدر و داروهای نسخهای یا غیرقانونی استفاده میشود. این…
آرتریت شامل یک گروه از شرایط است که با التهاب مفاصل مشخص میشود. علل مختلفی مانند ساییدگی و پارگی (آرتروز)،…
فشار خون بالا یا هیپرتنشن، یکی از شایعترین مشکلات بهداشتی در سراسر جهان است که میتواند منجر به عوارض جدی…
تشخیص و مدیریت عفونت با ویروس نقص ایمنی انسانی (HIV) از طریق مجموعهای از آزمایشهای آزمایشگاهی انجام میشود. این آزمایشها…
مدیریت تغذیه انترال (از طریق دستگاه گوارش) و پارانترال (تغذیه وریدی) بخش مهمی از درمان بیمارانی است که به دلایل…
انعقاد منتشره داخل عروقی (Disseminated Intravascular Coagulation، DIC) یک اختلال انعقادی پیچیده و ثانویه است که در آن فرآیندهای انعقادی…
بیماریهای کلاژنی و لوپوس اریتماتوز سیستمیک (SLE) جزو اختلالات خودایمنی هستند که میتوانند اندامها و بافتهای مختلف بدن را تحت…
غربالگری انعقادی یا همان اسکرینینگ انعقاد خون، مجموعهای از آزمایشها است که به ارزیابی سیستم انعقادی بدن و تشخیص اختلالات…
آسیب قلبی میتواند ناشی از شرایط مختلفی باشد، از جمله حمله قلبی (میوکارد اینفارکشن)، آسیب عضلانی قلب به دلیل ایسکمی…
پنل بررسی بیماری هپاتیت مجموعهای از آزمایشهای خون است که برای تشخیص عفونتهای ناشی از ویروسهای هپاتیت، بخصوص هپاتیت B…
تست جامع آلرژی در آزمایشگاه چکاپ به روش ماکرواری و با استفاده از کیت الکس انجام میشود. Alex2 کامل ترین…
در پاسخ به نیازهای مراجعین و درخواستهای پیاپی از سوی پزشکان، آزمایشگاه چکاپ اقدام به راهاندازی آزمایش آلرژی الکس نموده…
پنل همولیزیس برای تشخیص و مدیریت شرایطی که در آنها تخریب غیر طبیعی گلبولهای قرمز خون (همولیز) رخ میدهد، طراحی…
پنل سلامت عمومی یکی از رایجترین و کاملترین آزمایشهایی است که برای ارزیابی وضعیت سلامت فرد انجام میشود. این پنل…
Panel for Therapeutic Targets CD19, CD20 (Rituximab) CD52 (Alemtuzumab) CD56, CD38 (Daratumumab, Isatuximab) CD52 (Alemtuzumab) CD33 (Gemtuzumab) پنل “Therapeutic Targets”…
Panel for diagnosis Chronic lymphocytic leukemia/small lymphocytic lymphoma (CLL/SLL/PLL)CD45, CD5, CD19, CD10, CD20, CD23, CD200, FMC7, Lambda, Kappa لوسمی لنفوسیتیک…
Panel for diagnosis Mantle cell lymphomaCD45, CD5, CD19, CD10, CD20, CD23, CD200, FMC7, Lambda, Kappa لنفومای سلول منتل یکی از…
Panel for diagnosis Hairy cell leukemiaCD45, CD5, CD19, CD20, CD10, CD11c, CD20, CD22, CD103, Lambda, Kappa لوسمی سلول مویی یک…
Panel for diagnosis Follicular lymphoma:CD45, CD5, CD19, CD10, CD20, BCL2, Lambda, Kappa لنفومای فولیکولار یکی از انواع لنفومای غیرهوچکین است…
Panel for diagnosis Plasma Cell NeoplasmsCD45, CD5, CD19, CD38, CD138, CD56 لنفوما بزرگ سلولی پراکنده (Diffuse Large B-cell Lymphoma) یکی…
Panel for diagnosis Plasma Cell NeoplasmsCD45, CD5, CD19, CD38, CD138, CD56 این پنل فلوسایتومتری در تشخیص نئوپلاسمهای سلول پلاسمایی (Plasma…
مارکر CD38 یک پروتئین سطحی است که بر روی تعدادی از سلولهای ایمنی، از جمله برخی از سلولهای بنیادی خون…
مارکر CD34 یک پروتئین سطحی است که بر روی سلولهای بنیادی و پیشسازهای خونی، به ویژه در مغز استخوان، یافت…
Panel for diagnosis MyelodysplasiaCD45, CD34, CD38, CD7, CD16, CD13, CD117, and HLA-DR, CD7 or CD56, CD13, CD14, and CD16 پنل…
CD45 پروتئینی سطح سلولی است که در ارزیابی وضعیت سیستم ایمنی بدن نقش مهمی ایفا میکند. این نشانگر در تشخیص…
پنل تشخیص پاروکسیسمال نوکتورنال هموگلوبینوریا یا هموگلوبینوری حمله ای شبانه (Paroxysmal Nocturnal Hemoglobinuria – PNH) با استفاده از تکنیک فلوسایتومتری…
Panel for diagnosis Leukocyte Adhesion Deficiency Diseases (LAD-I, -II, and –III)CD18 or CD15, CD11a, CD11b, CD11c این پنل برای تشخیص…
پنل فلوسایتومتری برای تشخیص ماستوسیتوز (Panel for diagnosis Mastocytosis) شامل چندین نشانگر سطحی است که برای شناسایی و تمایز ماستوسیتها…
هدف این پنل بررسی MRD یا Minimal Residual Disease (حداقل باقی مانده) لوسمی در بیماران استفاده میشود. این پنل برای…
با توجه به درخواست مکرر پژوهشگران عزیز حوزه زیست شناسی سلولی، خدمات انجام تست انکسین PI با استفاده از دستگاه…
راهنمای نمونه گیری ادرار خانم هادریافت درب ظرف را باز کنید (مراقب باشید انگشتان شما با لبه یا سطح داخلی ظرف تماس پیدا نکند). در حالت ادرار کردن قرار بگیرید و با یک دست چین های پوستی دستگاه تناسلی را از یکدیگر جدا کنید و تا پایان نمونه گیری به همین حالت نگهدارید. دستگاه تناسلی…
راهنمای جمع آوری نمونه مدفوع جهت بررسی خون مخفیدریافت گاهی اوقات خونریزیهای مختصری در بخشهای مختلف دستگاه گوارش اتفاق می افتد که به علت مقدار کم با چشم قابل دیدن نیست. بنابراین باید با روشهای آزمایشگاهی تشخیص داده شود بهتر است این آزمایش در 3 نوبت انجام شود . جهت انجام آزمایش خون مخفی در…
جهت انجام آزمایش پرولاکتین لازم است 10 تا 12 ساعت ناشتا باشید. جهت نتیجه گیری درست از این آزمایش لازم…
دانلود فایل الف)کودکانی که هنوز کنترل ادرار خود را ندارند. ب) در کودکانی که با روش سرپا گرفتن میتوانند ادرار…
راهنمای آزمایش های ناشتاییدریافت نیاز است شما بین 10 تا 12 ساعت قبل از مراجعه به آزمایشگاه هیچ غذا یا نوشیدنی، شکلات و… (به جزء آب در حد معمول) میل نکنید. در صورتی که آزمایش های مربوط به چربی خون مثل تری گلیسرید برای شما درخواست شده باشد مدت زمان ناشتایی 20 ساعت می باشد.…
اگر نمونه گیری ادرار 24 ساعته را مثلا از ساعت 7 صبح شروع می کنید اولین نمونه را دور بریزید.یک…
راهنمای قندخون 2 ساعت بعد از صبحانهدریافت از شب قبل آزمایش حداقل 8 تا 10 ساعت ناشتا بوده و در طی زمان ناشتا از خوردن چای و قهوه خودداری نمایید. پس از اینکه نمونه اول (ناشتا) گرفته شد، صبحانه معمولی را که هر روز مصرف می نمایید میل نمایید. با شروع صبحانه زمان را یادداشت…
دانلود راهنمای جمع آوری اسپرم به فرمت PDFدریافت از آخرین خروج مایع منی به روش مقاربت یا استمناء کمتر از 3 روز یا بیشتر از 6 روز نگذشته باشد. نمونه هایی که پیش از 3 روز و پس از 6 روز از آخرین خروج مایع منی جمع آوری شوند برای انجام تست مناسب نیستند. نمونه…
تستهای انعقادی، که گاهی به عنوان آزمایشهای هموستاز شناخته میشوند، اجزاء حیاتی پزشکی تشخیصی هستند و نقش مهمی در ارزیابی…
نمونهگیری در منزل برای آزمایشگاههای تشخیصی یک روش راحت و کارآمد برای انجام آزمایشات پزشکی است. این روش به ویژه…
بخش ایمونولوژی در آزمایشگاه چکاپ به تحقیق و تجزیه و تحلیل سیستم ایمنی بدن و واکنشهای آن میپردازد. این بخش…
یکی از بخش های مهم دیگر آزمایشگاه بخش هورمون شناسی است. در این بخش تست های مرتبط با انواع هورمون…
بخش بیوشیمی محل انجام تست های مهمی مثل قند و چربی و سایر آنزیم های بدنی هست. البته این آزمایشات…
بخش میکروبیولوژی در آزمایشگاه چکاپ، یکی از مهمترین و پویاترین بخشهای آزمایشگاهی است که به بررسی و تشخیص انواع میکروارگانیسمها…
دپارتمان فلوسایتومتری در آزمایشگاه چکاپ یکی از بخشهای پیشرفته و تخصصی است که با استفاده از تکنیک فلوسایتومتری به تحلیل…
در آزمایشگاه چکاپ، ما افتخار داریم که با استفاده از تکنولوژی پیشرفته و کادری مجرب، خدمات دقیق و قابل اعتمادی…
بخش هماتولوژی یا خون شناسی قلب آزمایشگاه تشخیصی است. در این بخش دستگاه های پیشرفته آنالیز خون، نمونه های خون…
چهار راه طالقانی کرج قلب پزشکی و درمانی شهر کرج به حساب می آید و شما در این منطقه انواع…
خونریزی جنینی-مادری (Fetal-Maternal Hemorrhage، FMH) حالتی است که در آن خون جنین به جریان خون مادر وارد میشود. این پدیده…
بررسی پاسخ به درمان بیماری ام اس یا مولتیپل اسکلروزیس (MS) با استفاده از فلوسایتومتری یک رویکرد پیشرفته و دقیق…
ایمونوفنوتایپینگ با فلوسایتومتری یک تکنیک آزمایشگاهی پیشرفته است که برای شناسایی و تجزیه و تحلیل سلولهای موجود در نمونههای بیولوژیکی…
یکی از خدمات تخصصی آزمایشگاه چکاپ کرج، خدمات فلوسایتومتری است. دکتر پرویز فلاح، مدیریت آزمایشگاه چکاپ دارای مدرک دکترای هماتولوژی…
آزمایشگاه چکاپ کرج با مدیریت دکتر پرویز فلاح، دکترای تخصصی هماتولوژی، ارائه کننده خدمات تخصصی آزمایشات خون شناسی است. از…
پنل متابولیک جامع (Comprehensive Metabolic Panel) شامل چهارده آزمایش خون است که برای ارزیابی وضعیت سلامت کلی بدن، به خصوص…
پنل جامع تستهای متابولیتی Comprehensive Metabolic Panel (CMP) یک سری آزمایشات خون است که به طور گستردهای برای ارائه اطلاعاتی…
آزمایش کراتینین به عنوان معیاری کاربردی عمل میکند تا عملکرد کلیهها در زمینه فیلتر کردن مواد زائد خون ارزیابی شود.…
پنل پایه تستهای متابولیتی (BMP: Basic Metabolic Panel) مجموعهای از آزمایشهای خون است که اطلاعات مهمی در مورد وضعیت کلی…
برای انجام تست بررسی خون مخفی در مدفوع، لازم است شرایط نمونه گیری مطابق راهنمای زیر رعایت شود.
استعلام ارتباط آنلاین آزمایشگاه چکاپ با بیمه تکمیلی دی
استعلام ارتباط آنلاین آزمایشگاه چکاپ با بیمه تکمیلی آتیه سازان
استعلام ارتباط آنلاین آزمایشگاه چکاپ با بیمه تکمیلی کارآفرین
استعلام ارتباط آنلاین آزمایشگاه چکاپ با بیمه تکمیلی آسیا
پنل چکاپ چربی خون یک مجموعه تست است که به ارزیابی وضعیت چربیهای مختلف موجود در خون یک فرد میپردازد.…
هورمونهای استروئیدی مسیرهای متابولیسمی زنجیره ای و مرتبط با یکدیگر را طی میکنند. این مسیرهای متابولیسمی میتواند برای تشخیص بیماری…
یکی از نمونه های آزمایشگاهی، نمونه ادرار 24 ساعته است. در این نمونه بیمار نمونه خود را به مدت 24…
از یک آزمایشگاه خوب چه انتظاری دارید ؟ به نظر شما بهترین آزمایشگاه، چه آزمایشگاهی است ؟ ما معتقدیم آزمایشگاه…
پانکراس یکی از ارگانهای حیاتی بدن است که نقش مهمی در تولید هورمونها و آنزیمها برای هضم غذا دارد. مشکلات…
آزمایشهای الکترولیتهای خون برای ارزیابی وضعیت سلامتی بدن بسیار مهم هستند. الکترولیتها مواد معدنی هستند که در خون و دیگر…
پنل چکاپ عمومی بدن یا پنل سلامت عمومی (GENERAL HEALTH CHECKUP PANEL) در آزمایشگاهها شامل چندین آزمایش خون است که…
کم کاری و پر کاری تیروئید ممکن است موجب مشکلات مختلفی برای بدن بشوند. این بیماری بدون علامت را تنها…
چکاپ استخوان و مفاصل به شما کمک میکند که از بیماری های مرتبط با استخوان ها و مفاصل خود مطلع…
آزمایشات چکاپ دیابت شیرین یا DIABETES MELLITUS در آزمایشگاه چکاپ کرج شامل آزمایشات زیر است Basic Metabolic Panel (Calcium, Carbon…
پنل آزمایشات چکاپ روماتیسم ( ARTHRITIS ) آزمایشگاه چکاپ کرج ESR (sedimentation rate)Uric acidANA (antinuclear antibody)C-reactive proteinRheumatoid factorCyclic citrullinated peptide…
پنل فانکشن کلیه یا Renal Function شامل آزمایشاتی است که عملکرد کلیه را مشخص خواهد کرد. این مجموعه تستها که…
پنل آزمایشات کم خونی ( Anemia ) CBC with indices, reticulocyte count, and microscopic examinationMicrocytic: Serum iron,ferritin, ESR Normocytic: ESR,…
چکاپ در تمامی سنین و زمان ها ارزشمند است اما در برخی از سنین و شرایط چکاپ ضرورت پیدا میکند.…
آزمایش خون گنادوتروپین جفتی انسان (hCG) چیست؟ آزمایش خون گنادوتروپین جفتی انسان (hCG) ، میزان هورمون hCG موجود در یک…
كلسترول بد يا LDL ارتباط مسقيم با بيماري هاي قلبي و عروقي دارد. کلسترول ماده ی شبیه به چربی است…
چکاپ سالانه و آزمایشات پزشکی تخصصی می تواند قبل از اینکه بیماری ها و مشکلات به فاز خطرناک خود برسند…